
Smile Success Story: The End of Years of Embarrassment – A Chronic Bad Breath (Halitosis)
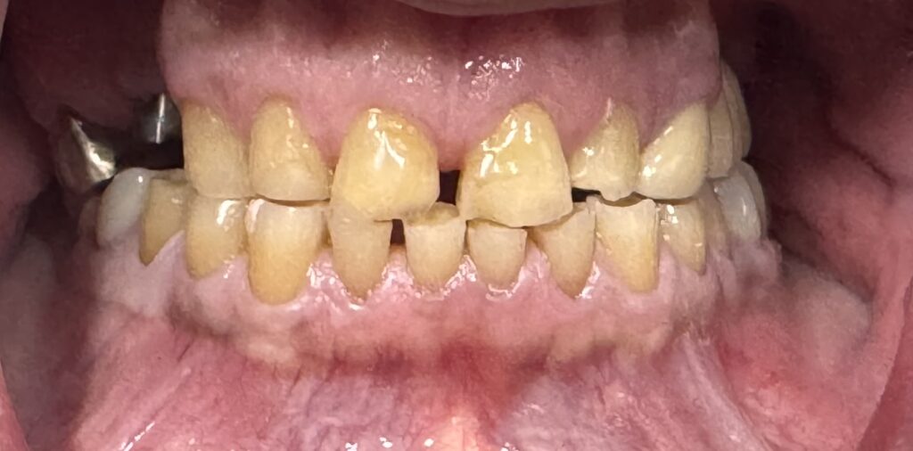
The Challenge: A Persistent, Life-Altering Challenge For a 53 year old patient, what began as an annoyance had escalated into a debilitating, four year ordeal.

The Challenge: A Persistent, Life-Altering Challenge For a 53 year old patient, what began as an annoyance had escalated into a debilitating, four year ordeal.

The Challenge Our 78-year-old Springfield patient came to Serenity Dental Spa dealing with major dental issues. Years of severe bruxism, more commonly known as teeth

The Challenge For years, our patient struggled with the debilitating fear of dental visits, a pervasive anxiety that prevented her from seeking regular and important

A teenage patient came to see Dr. Pashmini soon after she had her braces removed, and cavities were present on all her front teeth, where

A male patient visited Serenity Dental Spa at the encouragement of his wife, who wanted him to brighten his smile. Years of drinking black tea

A female patient from Springfield visited Serenity Dental Spa concerned about a chipped front tooth that, while not painful, was constantly irritating her tongue. The
Monday:
8:30 AM – 5:00 PM
Tuesday:
8:30 AM – 5:00 PM
Wednesday:
8:30 AM – 5:00 PM
8:30 AM – 5:00 PM
By appointment only