The Challenge

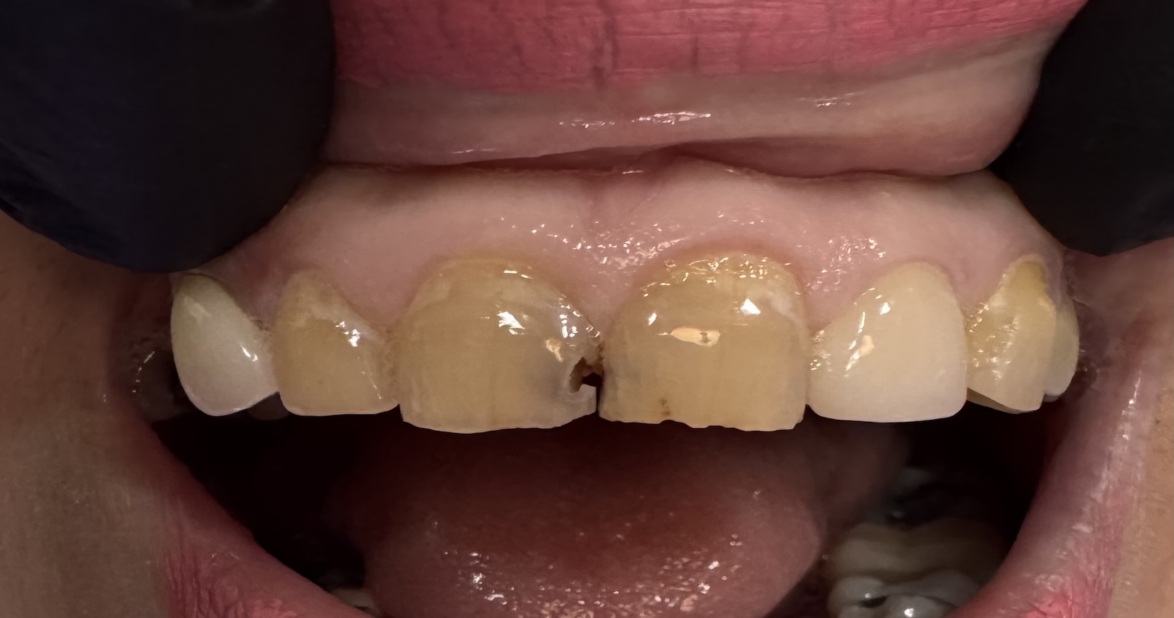
The patient arrived at Serenity Dental Spa in distress, her upper front teeth visibly fractured and showing noticeable discoloration beneath aging composite restorations. A comprehensive assessment by Dr. Pashmini revealed a more complex situation: the patient was also managing multiple areas of existing dental decay. These oral health problems were further complicated by two significant personal hurdles, high dental anxiety and understandable financial constraints, which had previously made it difficult to complete necessary treatments in a timely manner. The fracture of the front teeth, where fillings had been previously planned, turned a chronic concern into an urgent, emotionally taxing situation. Dr. Pashmini’s team recognized the necessity of a treatment plan that balanced clinical excellence with profound empathy.

Treatment Overview

Dr. Pashmini designed an immediate and focused treatment plan to restore the patient’s smile and address the fractured and discolored upper front teeth. The procedure involved meticulous composite restorations on both teeth. This advanced process required the careful isolation of the teeth, the gentle removal of all existing decay and unsightly discolored material, and the precise, layer-by-layer sculpting of new, durable, tooth-colored resin. Dr. Pashmini’s expertise was instrumental in ensuring not just the structural integrity of the restorations but also their aesthetic perfection, carefully selecting and blending the composite shade to achieve a flawless, natural appearance.

Results

The outcome of the procedure was a remarkable transformation. All decayed and discolored areas were successfully eliminated and expertly replaced with a brilliant white filling material. The final restorations seamlessly blended with the patient’s natural dentition, with the shade match achieving a “beautifully perfect” result. Beyond the outstanding clinical success, the patient’s response was one of profound happiness and confidence in her restored smile. This case exemplifies how compassionate, expert dental care can overcome complex challenges, restoring both health and self-assurance.

Restore Your Confidence

Contact Serenity Dental Spa for a Consultation with Dr. Pashmini Today.