
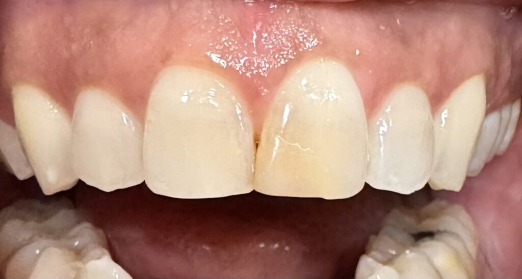
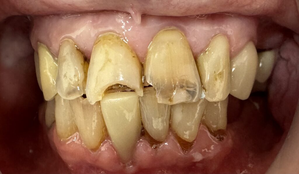
Smile Success Story: Restoring confidence for a self-conscious patient with a comprehensive cosmetic dentistry treatment plan
The Challenge The patient arrived at Serenity Dental Spa with a single, pronounced source of self-consciousness: a discolored and noticeable composite filling on a prominent




