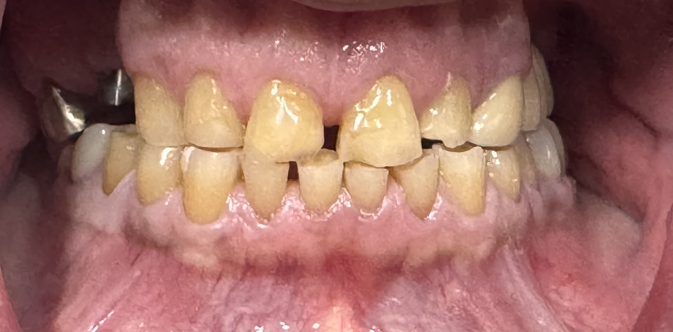
The Challenge

Our 78-year-old Springfield patient came to Serenity Dental Spa dealing with major dental issues. Years of severe bruxism, more commonly known as teeth grinding, had taken a heavy toll. Due to years of having this condition, his teeth were left severely worn down, many were broken, and most of the time highly sensitive. He was struggling with multiple failed dental restorations and nearly daily discomfort and pain. 

This grinding-related damage compromised not only the function of his bite (occlusion) but also his self-confidence, leaving him with a smile that no longer reflected his warm and pleasant personality. His condition required a compassionate and comprehensive treatment plan, based on a personal consultation and evaluation from Dr. Pashmini, to rebuild his oral health and restore his confidence to smile.

Treatment Overview

Under the expert dental care of Dr. Pashmini, the patient’s personalized treatment plan looked to deliver a transformative smile makeover. The comprehensive treatment plan focused on a complete rehabilitation of his bite and aesthetics. This involved preparing and utilizing custom-designed porcelain dental crowns across the entire arch to rebuild his severely worn teeth, restoring their ideal and natural-appearing shape, function, and strength. 

Recognizing the root cause of the damage and wanting to prevent a recurrence, the treatment plan concluded with Dr. Pashmini fabricating a custom-fitted nightguard, a crucial step to protect the new porcelain restorations and prevent future damage from severe bruxism.

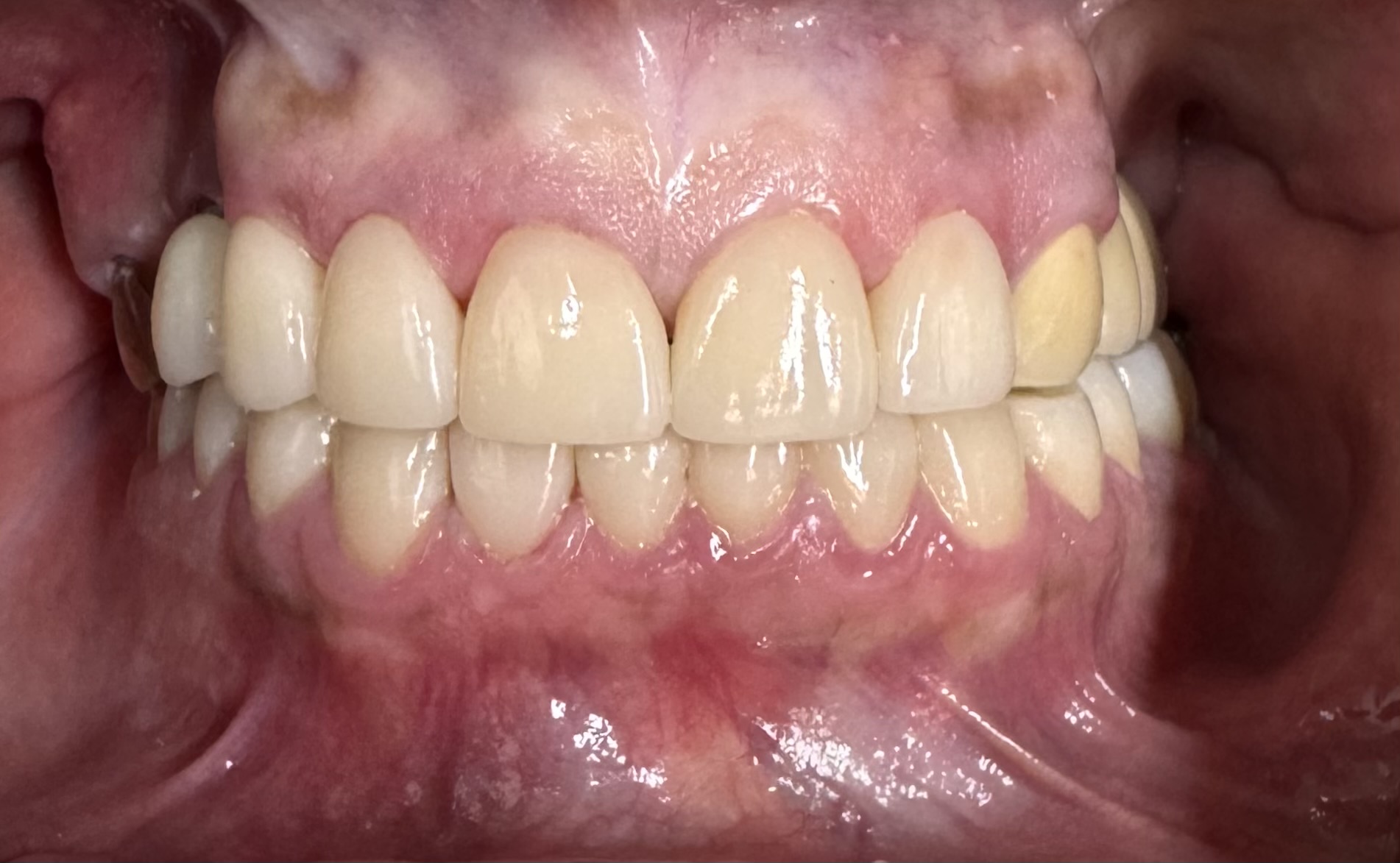
Results

The outcome of his smile makeover was a success, and the patient now enjoys a truly radiant, natural-looking smile and has achieved proper occlusion, meaning his bite is functional and comfortable for the first time in years. His tooth sensitivity is gone, the broken teeth are mended, and the protective nightguard ensures the longevity of his new smile. Most importantly, the patient is exceptionally happy and simply cannot stop smiling.

With a comprehensive treatment plan, Dr. Pashmini successfully transformed years of damage into a radiant, healthy, and functional smile.

Contact Serenity Dental Spa for an individual consultation to discuss your smile with Dr. Pashmini today.