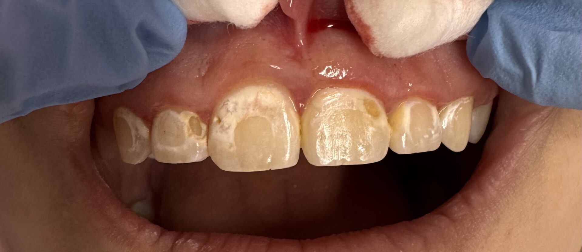
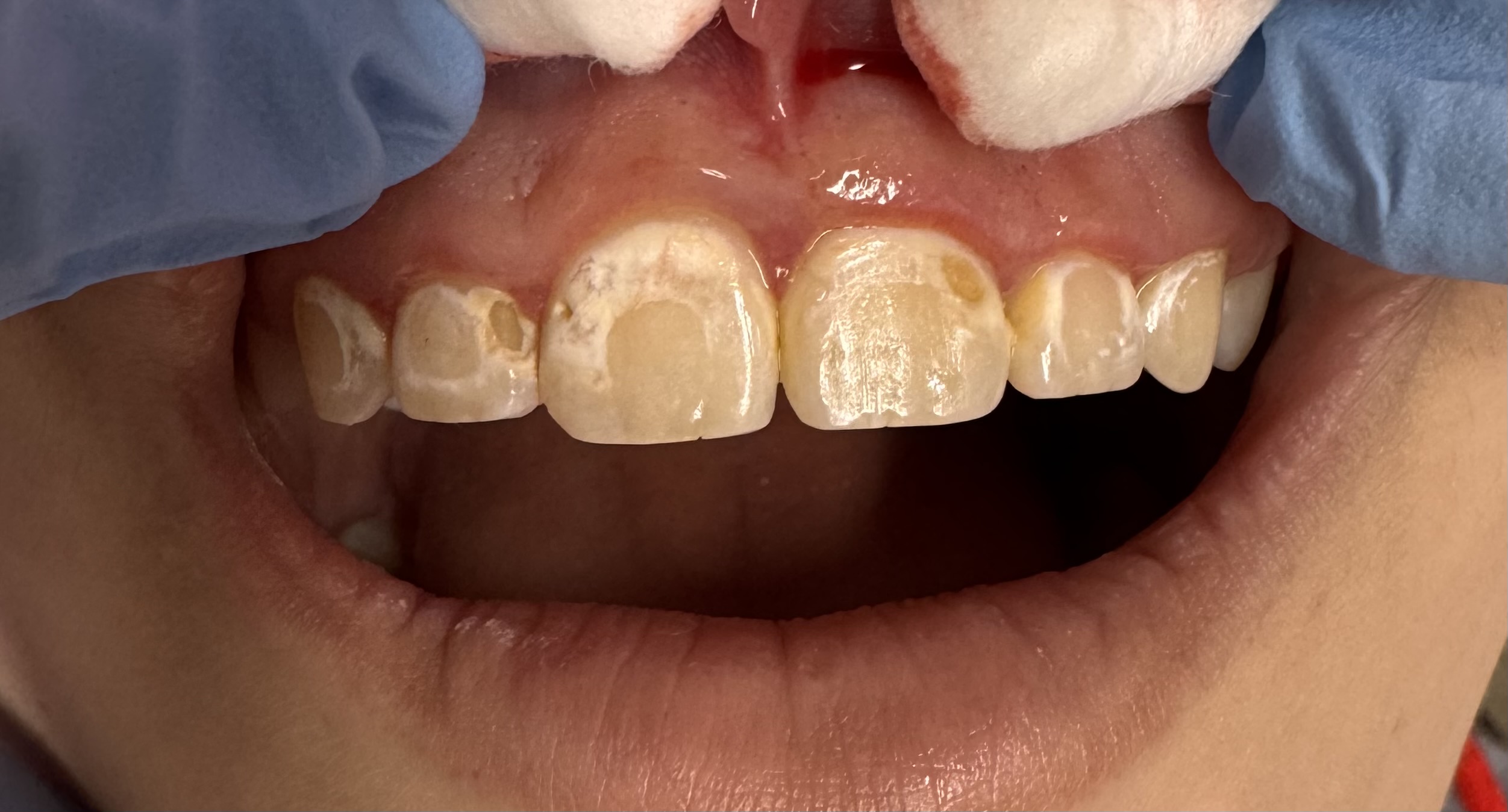
A teenage patient came to see Dr. Pashmini soon after she had her braces removed, and cavities were present on all her front teeth, where the brackets used to be.

The Challenge

This patient presented with a significant and deeply concerning issue: issues were caused by braces and multiple cavities caused by not brushing/flossing thoroughly during the treatment. This wasn’t merely a cosmetic concern; the patient had been living with this condition for an extended period, leading to considerable discomfort, multiple cavities and a decline in their overall quality of life. The impact extended beyond physical symptoms, affecting their confidence and daily interactions.

Treatment Plan Overview

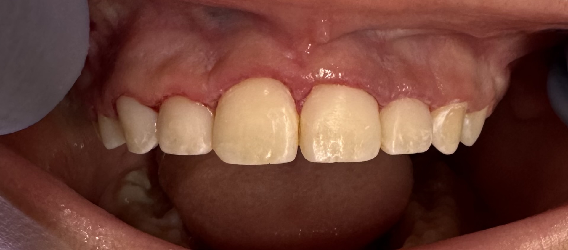
Dr. Pashmini and the dedicated team at Serenity Dental Spa devised a comprehensive and personalized treatment strategy to address the patient’s unique needs. The carefully planned approach involved composite fillings were done on all teeth on the same day. This meticulous process was designed not only to alleviate the immediate symptoms but also to ensure long-term oral health and aesthetic improvement, restoring both function and beauty to the patient’s smile.

Results – Smile, Speak, and Eat with Renewed Confidence

The transformation achieved for this patient was truly remarkable. Following the treatment plan provided by Dr. Pashmini, the patient was happy with the income. It was a conservative approach since the patient is still a growing teenager. The successful outcome not only resolved their initial dental challenges but also significantly enhanced their quality of life, allowing them to smile, speak, and eat with renewed confidence and comfort.

Contact Serenity Dental Spa for a Consultation with Dr Pashmini Today

Ready to experience your own smile transformation? Contact Serenity Dental Spa for a consultation with Dr. Pashmini today and discover how we can help you achieve optimal oral health and a radiant smile.