dental bonding

What Is Dental Bonding and When Is It an Appropriate Treatment?

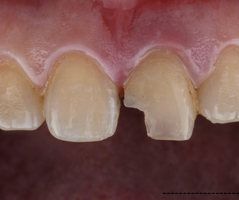
If you have small flaws in your smile, such as a chip, gap, or uneven edge, it can affect your confidence. However, not everyone wants to get veneers or undergo orthodontics, which is why dental bonding could be the perfect middle ground. This quick, minimally invasive cosmetic treatment can correct minor tooth issues in just one visit, giving you a more polished, beautiful smile without major dental work.

An article by Dr. Naghmeh Pashmini.  Originally published by Your Dental Health Resource.

Read the full article here: What Is Dental Bonding and When Is It an Appropriate Treatment?