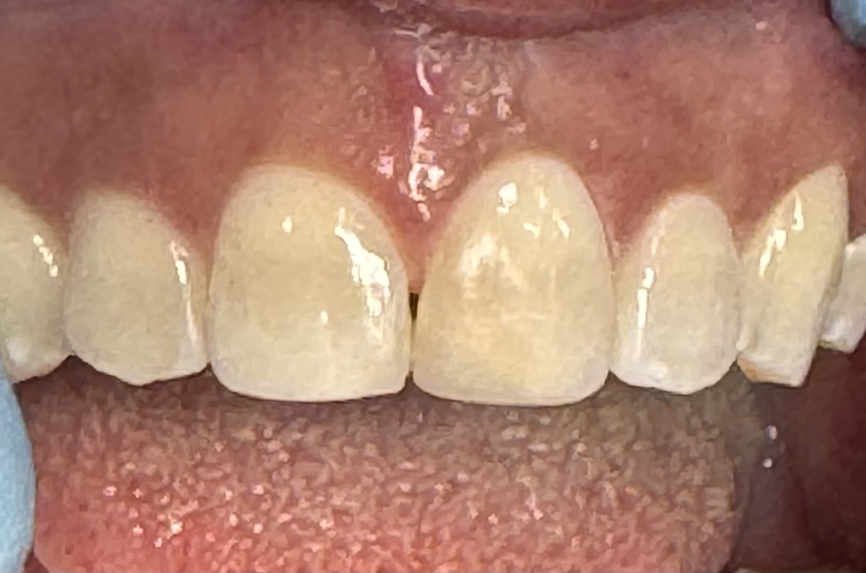
The Challenge

The patient arrived at Serenity Dental Spa with a single, pronounced source of self-consciousness: a discolored and noticeable composite filling on a prominent front tooth. This aesthetic flaw drew unwanted attention and made him hesitant to smile openly. While the filling was the most immediate concern, Dr. Pashmini’s comprehensive examination also noted an underlying element of malocclusion, a slight misalignment of the bite. Addressing both the patient’s primary cosmetic request and the foundational health of his smile was crucial for a lasting, successful result.

Treatment Overview

Dr. Pashmini developed a personalized treatment plan focused on achieving the aesthetic presentation the patient desired with minimal intervention. The process began with the gentle and precise removal of the old, compromised composite filling. Following this, Dr. Pashmini utilized advanced dental bonding techniques, meticulously layering and sculpting a new, high-quality composite material. 

The true artistry lay in the detailed contouring and precise shade-matching process, ensuring the new restoration perfectly blended with the surrounding enamel, making it visually indistinguishable from his natural tooth.

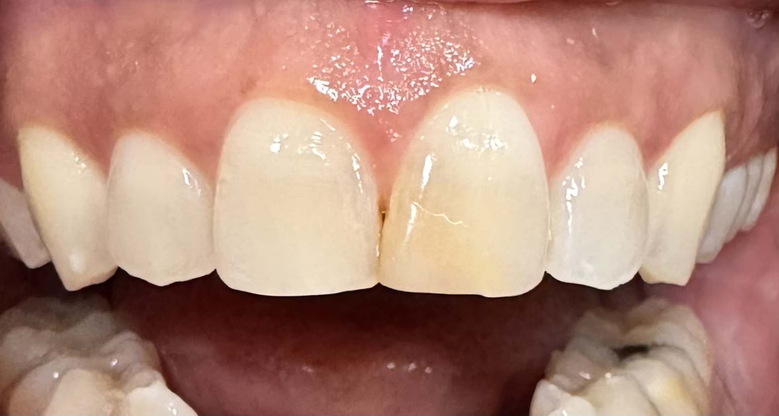
Results

The outcome was a success. The patient’s front tooth now benefits from a restoration with a significantly improved color match and contour, completely erasing the previous aesthetic concern. The result is a seamless, natural-looking tooth that has empowered the patient to smile with renewed confidence. This simple, targeted cosmetic and restorative treatment delivered a dramatic improvement in both aesthetics and self-assurance..

Ready for Your Own Smile Transformation?

Contact Serenity Dental Spa for a consultation with Dr. Pashmini today.